Aktuelle Studie: Erfolgsquote von Stentbehandlung gegen Erektionsstörungen bei 67 Prozent
Den Begriff Stent kennen die meisten Menschen im Zusammenhang mit Herzerkrankungen. Wenig bekannt ist hingegen, dass Gefäßstützen sich in der Therapie von Erektionsstörungen immer mehr etablieren. Sofern die Patienten für den Eingriff in Frage kommen, beseitigt die Stentbehandlung arteriosklerotisch bedingte Erektionsstörungen inzwischen bei mehr als als zwei Drittel aller Patienten.
Erektionsstörungen sind sehr oft Folge von Durchblutungsstörungen (Mehr dazu: Ursachen von Erektionsstörungen). Umso naheliegender ist es, zur Behandlung von Erektionsproblemen die Durchblutung des Penis wiederherzustellen. Mediziner sprechen von Revaskularisation der Penisarterien mittels Ballonkatheter-Therapie. In einfachen Worten: Die den Penis versorgenden Arterien werden geweitet und stabilisiert. Das klingt komplizierter als es ist.
Die Stentbehandlung ist für alle Männer geeignet, bei denen sich die Erektionsstörung auf eine mangelhafte Blutversorgung infolge von Gefäßverengungen im Bereich der Becken- und Penisarterien zurückzuführen lässt. Eine individuell zutreffende Einschätzung lässt sich aber erst nach einer genauen Diagnose der erektilen Dysfunktion treffen. Sollte sich beispielsweise bei der Diagnose zeigen, dass die Penisarterien noch nicht übermäßig geschädigt sind, kann bei vielen Männer eine Stosswellentherapie gegen Erektionsstörungen die bessere Wahl sein.
Die Erfolgsrate von Stentbehandlungen gegen Erektionsstörungen ist sehr hoch. In einer aktuellen Studie (Februar 2019) unter Leitung von Prof. Diehm ist der Eingriff bei 97,6 Prozent technisch erfolgreich verlaufen. Bei 49 von 50 Männern in dieser Studie konnten Verengungen der zum Penis führenden Arterien erfolgreich beseitigt werden. Bei zwei Dritteln der Männer (67 Prozent) verbesserte sich daraufhin die Erektionsfähigkeit. Selbst ein Jahr nach dem Eingriff war noch mehr als die Hälfte der Probanden (57 Prozent) zu einer Penetration in der Lage. Und 60 Prozent aller Behandelten konnten die Erektion während des Geschlechtsverkehrs aufrecht erhalten.
Die ausführlichen Ergebnisse der Studie:Endovascular Therapy for Erectile Dysfunction—Who Benefits Most? (PDF, englisch)
Prof. Nicolas Diehm und seine Kollegen werten das Ergebnis als sehr ermutigend. Dies gelte umso mehr, als für die Studie keine Risikopatienten ausgeschlossen worden seien. Vielmehr seien auch Männer berücksichtigt worden, bei denen die Erektionsfähigkeit aufgrund anderer Probleme beeinträchtigt war. Solche Risikofaktoren sind beispielsweise hohes Alter, ausgeprägter Bluthochdruck oder Diabetes.
Zu den Vorteilen der Stentbehandlung zählt Prof. Diehm auch, dass Komplikationen bei der Revaskularisation der Penisarterien sehr selten sind. In der aktuellen Studie gab es bei keinem der Teilnehmer unerwünschte Nebenwirkungen. Wie bei Stents in anderen Blutgefäßen auch kann es jedoch zu einer Wiederverengung der Arterien kommen. Dieses Risiko ist umso größer, je stärker das Gefäß bereits geschädigt war. Deshalb ist es so wichtig, Durchblutungsstörungen möglichst früh zu erkennen, um rechtzeitig eine erfolgversprechende Behandlung einzuleiten.
Die Stentbehandlung der Penisarterien ist keine Operation, sondern ein minimal-invasiver Eingriff. Bei örtlicher Betäubung wird ein kleiner Schnitt in der Leiste gesetzt. Über diesen Zugang wird ein sehr feiner Hohlschlauch (Katheter) über die Beckenarterie (Beckenschlagader) bis zu den Penisarterien geführt. Über den Katheter wird die verengte Arterie mit einem Ballon geweitet. Anschließend wird eine Gefäßstütze (Stent) eingesetzt, um die Engstelle zu stabilisieren.

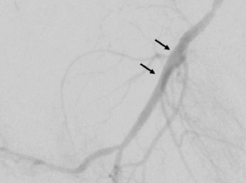
01. Zwischen den beiden Pfeilen ist eine starke Verengung (Stenose) der linken Penisarterie (Arteria pudenda interna) zu erkennen. Sie ist die Ursache dafür, dass der Penis nicht ausreichend mit Blut versorgt wird.

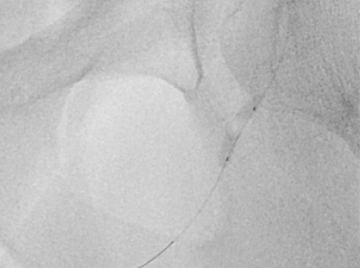
02. Dieses Bild zeigt die gleiche Arterie, während sie mit einem Ballon geweitet wird. Mediziner bezeichnen diese Methode als Ballondilatation oder Ballonangioplastie.

03. Nach der Weitung durch den Ballon kann die geweitete Arterie ein Stück weit zusammenfallen. Es bleibt also eine Engstelle. Diese sogenannte residuelle Stenose wird im nächsten Schritt mit einem Stent stabilisiert.

04. Nach erfolgreichem Setzen der Gefäßstütze ist die Verengung beseitigt. Um eine Wiederverengung bestmöglich zu vermeiden, ist der Stent mit Medikamenten beschichtet.
Die Gründer des Zentrums für Erektionsstörungen, Prof. Dr. med. Nicolas Diehm, PD Dr. med. Hak Hong Keo und Dr. med. Christian Regli sowie ihr Partner Dr. med. Martin Christian Schumacher (Urologe) sind international anerkannte Pioniere in der Angioplastie-Behandlung von Erektionsproblemen. Mehr über ihre wissenschaftliche Arbeit und weiterführende Literatur finden Sie unter Aktuelles.
Prof. Diehm bezeichnet die Stentbehandlung von Erektionsstörungen nach weit über vierhundert Eingriffen als Routineeingriff. Er nimmt diesen Eingriff gegenwärtig bis zu 20 Mal pro Monat vor.

Dr. med. Christian Regli, Prof. Dr. med. Nicolas Diehm und PD Dr. med. Hak Hong Keo
Wissenschaftliche Arbeiten und weiterführende Literatur
Nicolas Diehm, Stefanie Marggi, Yasushi Ueki, Dagmar Schumacher, Hak Hong Keo, Christian Regli, Dai Do Do, Tilmann Moeltgen, Philipp Grimsehl, Stephen Wyler, Heinz Schoenhofen, Lorenz Räber, and Martin Schumacher: Endovascular Therapy for Erectile Dysfunction—Who Benefits Most? (Journal of Endovascular Therapy, 2019)
Nicolas Diehm, Hak Hong Keo, Anne-Katrin Born, Stephen Wyler: Interdisciplinary options for diagnosis and treatment of organic erectile dysfunction, Swiss Medical Weekly 2015
Nicolas Diehm, F. Baumann: Erektile Dysfunktion: Technische Fortschritte ermöglichen endovaskuläre Therapie, Cardiovasc 2013
Prof. Dr. med. Diehm erklärt Stentbehandlung gegen Erektionsstörungen
Im Zentrum für Erektionsstörungen finden Sie kompetente Gesprächspartner für alle Fragen rund um erektile Dysfunktion. Wenn Sie Fragen haben oder einen Beratungstermin vereinbaren wollen: Rufen Sie uns an: +41 62 824 02 42 oder schreiben Sie eine kurze Nachricht an info@erektionsstoerungen-behandlung.com
Montag bis Freitag:
8:00 bis 11:30 Uhr und 13:30 bis 17:30 Uhr
Weitere Sprechstunden bieten unsere Expertinnen und Experten in der Hirslanden Klinik Aarau, dem Spital Zofingen, dem Ärztezentrum Täfernhof und dem Zentrum für Gefässmedizin in Baden und Zofingen an.
Zentrum für Erektionsstörungen
c/o Gefässmedizin Mittelland
Aarenaustrasse 2 b
CH-5000 Aarau
Telefon: +41 62 824 02 42
Fax: +41 62 824 02 27
info@erektionsstoerungen-behandlung.com